Accueil
Notre cabinet
Notre équipe
Où sommes-nous ?
Urgences
Info patient
Vidéo 3D
Parodontologie
Implantologie
Esthétique
Soins dentaires
Orthodontie
Pathologies dentaires
Prothèse
Hygiène
Contact
Languages
English
Deutsch
Cabinet dentaire du Dr HASSANEYN
Implant Dentaire à Strasbourg - Parodontologie - Esthétique Chirurgien-Dentiste à Strasbourg
Appeler
Localisation
+33 3 88 36 96 60
21 Avenue des Vosges, 67000 STRASBOURG
Accueil
Notre cabinet
Notre équipe
Où sommes-nous ?
Urgences
Info patient
Vidéo 3D
Parodontologie
Implantologie
Esthétique
Soins dentaires
Orthodontie
Pathologies dentaires
Prothèse
Hygiène
Contact
Languages
English
Deutsch
Cabinet dentaire du Dr HASSANEYN
Implant Dentaire à Strasbourg - Parodontologie - Esthétique Chirurgien-Dentiste à Strasbourg
Blog - Page 22
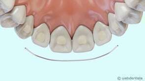
Fil de contention
EN SAVOIR PLUS
Conséquence de la perte des dents postérieures
EN SAVOIR PLUS
Protocole de dévitalisation d'une dent ou traitement endodontique
EN SAVOIR PLUS
Parodontite et formation de la poche parodontale
EN SAVOIR PLUS
Le surfaçage
EN SAVOIR PLUS
Traitement multi-attaches
EN SAVOIR PLUS
Affichage des articles 127-132 sur 186
‹
1
2
…
18
19
20
21
22
23
24
25
26
…
30
31
›
Rechercher dans le blog Blog
Anatomie dentaire
(5)
Cas cliniques
(4)
Gencives et esthétique
(3)
Hygiène et Prévention
(14)
Informations pratiques
(2)
L'équipement du cabinet dentaire
(1)
L'esthétique
(4)
Les dents chez l'adulte
(1)
Les dents de l’enfance à l’adolescence
(1)
Les dents et la santé
(11)
Les gencives
(23)
Les implants
(31)
Les maladies des gencives
(8)
Les pathologies bucco-dentaires
(35)
Les pathologies dentaires
(16)
Les prothèses
(51)
Numérique
(5)
Omnipratique
(219)
Publications
(1)
Cabinet dentaire du Dr HASSANEYN
21 Avenue des Vosges
67000
STRASBOURG
+33388369660
Politique de confidentialité et charte cookie
Mentions légales
Conditions Générales Utilisation
Charte déontologique
Ordre national
Annuaires chirurgiens dentistes
Hygiène & Asepsie
Honoraire & remboursement
Diaporama
Rechercher dans le blog Blog
Création par
Connexion
Vidéo en cours de lecture